بسیاری از ما با شنیدن نام کیست یا توده در بدن، ناخودآگاه به یاد کلمه ترسناک سرطان میافتیم. وقتی دندانپزشک پس از مشاهده عکس رادیولوژی میگوید: «شما دچار کیست دندان شدهاید»، اولین سوالی که در ذهن نقش میبندد این است: آیا این توده میتواند بدخیم شود؟ در این مقاله دکتر آرش گلستانه، از دیدگاه علمی و با نگاهی به جدیدترین یافتههای پزشکی، به بررسی دقیق این موضوع میپردازند که آیا کیست دندان باعث سرطان میشود؟ و چطور باید با این عارضه شایع برخورد کرد.
فهرست مطالب
کیست دندان چیست؟
پیش از آنکه نگران سرطان باشید، باید بدانید که کیست دندان در واقع یک کیسه بافتی حاوی مایع، هوا یا مواد نیمهجامد است که در مجاورت ریشه دندان، لثه یا استخوان فک تشکیل میشود. اکثر این کیستها ماهیتی خوشخیم دارند و در پاسخ به یک عفونت مزمن یا التهاب طولانیمدت ایجاد میشوند.
کیست دندان اغلب در اثر موارد گفته شده در زیر ایجاد میشود و ممکن است سالها بدون علامت باقی بماند:
- عفونت مزمن دندان
- درمان نشدن پوسیدگی عمیق
- ضربه به دندان
- باقی ماندن ریشه عفونی
انواع کیست های دندانی
انواع رایج کیست های دندان عبارتند از:
- کیست رادیکولار (Radicular Cyst): شایعترین نوع کیست که در نوک ریشه دندانهای عفونی ایجاد میشود.
- کیست دنتیژروس: معمولاً اطراف تاج دندانهای عقل نهفته شکل میگیرد.
- کراتوسیستهای ادونتوژنیک: نوعی کیست که تمایل به بازگشت دارد و نیاز به نظارت دقیقتری دارد.
ارتباط کیست دندان و سرطان: شایعه یا واقعیت؟
کیست دندان به خودی خود سرطان نیست. بسیاری از مراجعین میپرسند آیا کیست رادیکولار خطرناک است؟ در واقعیت، کیستهای رادیکولار تومور نیستند، بلکه واکنشی دفاعی از سوی بدن برای محدود کردن عفونت ریشه دندان هستند. با این حال، دو نکته بسیار مهم وجود دارد که نباید از آنها غافل شد:
- تشخیص اشتباه: گاهی اوقات تومورهای بدخیم در مراحل اولیه در عکس رادیولوژی شباهت زیادی به کیستهای معمولی دارند. به همین دلیل بررسی کیست دندان در عکس رادیولوژی توسط جراح فک و صورت الزامی است.
- تغییرات بافتی نادر: در موارد بسیار بسیار نادر، اگر یک کیست برای دههها بدون درمان رها شود، التهاب مزمن ممکن است زمینهساز تغییرات سلولی شود. اما این اتفاق یک قاعده نیست و استثنا محسوب میشود.

نکته مهم از زبان دکتر آرش گلستانه فوق تخصص جراحی فک و صورت اصفهان:
بیشتر کیستهای دندانی خوشخیم هستند و ماهیت سرطانی ندارند.
جدول مقایسه کیست معمولی و تومورهای احتمالی دهان:
| ویژگی | کیست دندان (خوشخیم) | تومور/ضایعه مشکوک |
|---|---|---|
| سرعت رشد | بسیار کند (طی ماهها و سالها) | نسبتاً سریع |
| درد | معمولاً ندارد (مگر عفونی شود) | ممکن است با درد یا بیحسی همراه باشد. |
| تاثیر بر دندانها | دندان را جابجا میکند | ممکن است ریشه دندان را تحلیل ببرد. |
| ظاهر در رادیولوژی | مرزهای مشخص و دایرهای | مرزهای نامنظم و تهاجمی |
کیست رادیکولار دندان چیست و چرا ایجاد میشود؟
وقتی مغز دندان (پالپ) به دلیل پوسیدگی شدید میمیرد، باکتریها به سمت نوک ریشه حرکت میکنند. بدن برای جلوگیری از پخش شدن این سموم در کل فک، دیوارهای کیسهمانند دور آن میسازد. این دقیقاً همان جایی است که کیست رادیکولار متولد میشود.
در واقع کیست رادیکولار شایعترین نوع کیست دندان است و معمولاً در انتهای ریشه دندانهایی که عصبکشی ناموفق داشتهاند یا کاملاً عفونی شدهاند ایجاد میشود.
ویژگیهای کیست رادیکولار:
- خوشخیم است.
- رشد آهسته دارد.
- اغلب بدون درد است.
- در عکس رادیولوژی بهصورت یک ناحیه تیره دیده میشود.
کیست رادیکولار خطرناک است؟
از نظر سرطانی بودن، معمولاً خطرناک نیست اما از نظر تخریب استخوان، میتواند خطرناک باشد. اگر کیست رادیکولار درمان نشود:
- استخوان فک را تحلیل میبرد.
- باعث لق شدن دندانها میشود.
- درمانهای بعدی مثل ایمپلنت را دشوار میکند.
- ممکن است باعث عفونتهای شدید شود.
اگر کیست دندان درمان نشود چه میشود؟
بزرگترین اشتباه، نادیده گرفتن کیست به دلیل نداشتن درد است. اگر کیست دندان درمان نشود، عوارض زیر محتمل است:
- تضعیف استخوان فک: کیست با رشد خود استخوان فک را جذب کرده و آن را نازک و شکننده میکند.
- عفونت حاد (آبسه): تبدیل کیست به یک کانون عفونی که باعث تورم شدید صورت میشود.
- از دست دادن دندانهای مجاور: فشار کیست میتواند ریشه دندانهای سالم را از بین ببرد.
درمان فوری کیست دندان
بسیاری از بیماران به دنبال درمان فوری کیست دندان هستند. باید بدانید که درمان این عارضه بستگی به اندازه و نوع آن دارد.
نکات کلیدی برای پیشگیری و تشخیص زودهنگام:
- چکآپ سالانه: بسیاری از کیستها بدون علامت هستند و فقط در کیست دندان در عکس رادیولوژی (OPG یا CBCT) دیده میشوند.
- رسیدگی به دندانهای ضربه خورده: دندانی که سالها پیش ضربه خورده ممکن است بدون درد سیاه شده و کیست بسازد.
- جدی گرفتن تورم: هرگونه برجستگی سفت یا نرم در لثه را به دندانپزشک نشان دهید.
کیست دندان چگونه درمان میشود؟ درمانهایی که برای این عارضه در نظر گرفته میشوند عبارتند از:
درمان کیست ریشه دندان (عصبکشی)
در مراحل اولیه، یک عصبکشی دقیق میتواند باعث کوچک شدن و از بین رفتن کیست شود. با حذف منبع باکتری، بدن خود به خود کیست را جذب میکند.
جراحی اپیکواکتومی
اگر عصبکشی پاسخگو نباشد، جراح با یک برش کوچک در لثه، نوک ریشه و کیست متصل به آن را خارج میکند. این موثرترین روش برای درمان کیست رادیکولار است.
کشیدن دندان
در مواردی که دندان قابل نگهداری نیست، دندان کشیده شده و حفره کیست به طور کامل تخلیه (کورتاژ) میشود.
درمان فوری کیست دندان در خانه
یک باور غلط در فضای مجازی، ترویج روشهای خانگی برای درمان فوری کیست دندان در خانه است. استفاده از سیر، نمک یا روغنهای گیاهی شاید به طور موقت التهاب لثه را کم کند، اما هیچ راه خانگی برای از بین بردن دیواره کیست وجود ندارد. کیست یک ساختار بافتی است و تا زمانی که منبع عفونت (داخل دندان) پاکسازی نشود، باقی خواهد ماند.
درمان کیست ریشه دندان
درمان کیست ریشه دندان معمولاً شامل:
- حذف منبع عفونت
- تخلیه کیست
- بازسازی استخوان
در بسیاری از موارد، پس از درمان اصولی، استخوان فک بهمرور ترمیم میشود.
درمان فوری کیست دندان کودکان
در کودکان، کیستها معمولاً به دلیل ضربه به دندانهای شیری یا پوسیدگیهای زودهنگام ایجاد میشوند. درمان فوری کیست دندان کودکان بسیار حیاتی است، زیرا وجود کیست میتواند به جوانه دندانهای دائمی که زیر دندان شیری هستند، آسیب جدی وارد کند. معمولاً در این موارد، اولویت با حفظ فضای دندان دائمی است.
بهترین دارو برای کیست دندان
فریب تبلیغات “بهترین دارو برای کیست دندان” را نخورید. دارویی برای “ناپدید کردن” کیست وجود ندارد. آنتیبیوتیکها مثل آموکسیسیلین یا مترونیدازول فقط عفونت اطراف کیست را کنترل میکنند و خود کیست را از بین نمیبرند.
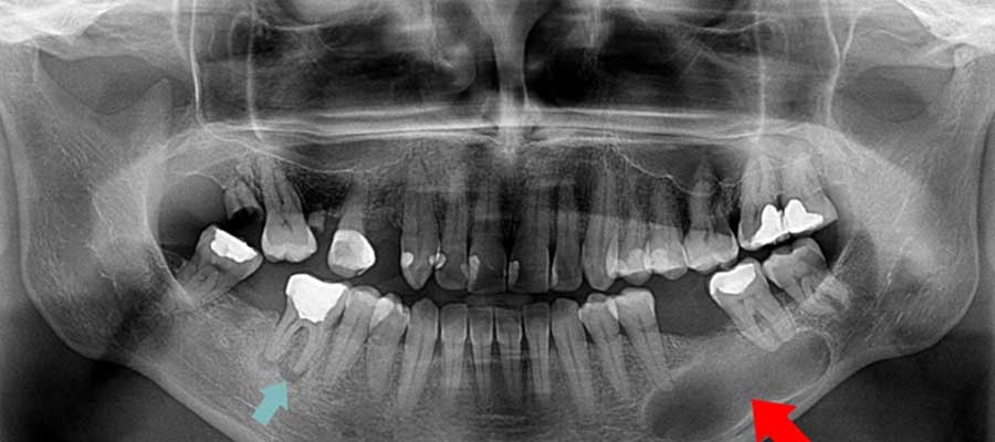
کیست دندان در عکس رادیولوژی
کیست دندان در عکس رادیولوژی معمولاً بهصورت یک ناحیه تیره (رادیولوسنت)، با حاشیه نسبتاً مشخص در اطراف ریشه دندان مشاهده میشود. تشخیص نهایی همیشه با نظر دندانپزشک و گاهی پاتولوژی انجام میشود.

ترکاندن کیست دندان
بسیاری از بیماران زمانی که با طعم تلخ، بوی بد و تخلیه ناگهانی مایع در دهان مواجه میشوند، دچار وحشت میشوند. ترکیدن کیست دندان (یا به عبارت دقیقتر، تخلیه آبسه ناشی از کیست) یک وضعیت اورژانسی است که اگرچه ممکن است درد شما را موقتاً کاهش دهد، اما به معنای پایان مشکل نیست.
علائم ترکیدن کیست یا آبسه دندان
- احساس مزه فلزی یا تلخ: تخلیه چرک و عفونت در دهان.
- کاهش ناگهانی درد: به دلیل کم شدن فشار از روی عصبهای ناحیه فک.
- بوی بسیار بد دهان: که با مسواک زدن از بین نمیرود.
- مشاهده مایع زرد یا خونی: در ناحیه لثه.
اقدامات اورژانسی هنگام پاره شدن یا ترکیدن کیست دندان
ترکیدن کیست دندان یک وضعیت اورژانسی است که اگرچه ممکن است درد شما را موقتاً کاهش دهد، اما به معنای پایان مشکل نیست.
۵ گام حیاتی که بلافاصله باید انجام دهید:
اگر کیست دندان شما در خانه تخلیه شد، این پروتکل را دنبال کنید:
- بلافاصله دهان خود را با آبنمک رقیق و ولرم بشویید.
- از فشار دادن لثه با انگشت یا زبان خودداری کنید.
- اگر صورت شما متورم شده است، یک کمپرس سرد را به مدت ۱۰ دقیقه روی گونه (سمت بیرونی) قرار دهید و ۱۰ دقیقه به آن استراحت دهید.
- بسیاری از افراد بلافاصله شروع به خوردن دوزهای بالای آموکسیسیلین میکنند. توجه داشته باشید که نوع باکتریهای بیهوازی در کیستهای دندانی متفاوت است و حتماً باید توسط دندانپزشک تجویز شود.
- مراجعه فوری به دندانپزشک (حتی اگر درد ندارید!)
چرا درمان نکردن کیست پس از تخلیه خطرناک است؟
وقتی کیست میترکد، مسیری به نام فیستول (Fistula) ایجاد میشود. این مسیر مانند یک تونل عمل میکند که عفونت را از استخوان به دهان میآورد. اگر دندانپزشک این مسیر و منبع عفونت را نبندد، استخوان فک در آن ناحیه به مرور زمان خورده شده و از بین میرود. پس تخلیه کیست دندان یک “فرصت” کوتاه برای شماست تا قبل از بازگشت درد شدیدتر، به پزشک مراجعه کنید. درمان در این مرحله معمولاً شامل شستشوی تخصصی حفره و شروع مراحل عصبکشی یا جراحی کوچک است.
در پایان، در پاسخ به سوال آیا کیست دندان باعث سرطان میشود؟
دریافتیم که این ضایعات در ۹۹٪ موارد خوشخیم هستند. اما خطر واقعی در “رشد پنهان” و “تخریب استخوان فک” نهفته است. کیست دندان چگونه از بین میرود؟ تنها با مداخلات دندانپزشکی تخصصی شامل عصبکشی یا جراحی. سلامت دهان شما پنجرهای به سلامت کل بدن است. اگر در عکس رادیولوژی خود ضایعهای مشاهده کردهاید، بدون استرس و در اولین فرصت به یک متخصص ریشه دندان یا جراح فک و صورت مراجعه کنید.








